症例・治療例
|
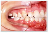
反対咬合(受け口):8歳 男性
|
|
|
乳歯列期、混合歯列期の治療 混合歯列期の治療では、成長が終わってからでは治せない上下のアゴの関係の改善や、指しゃぶりや舌を前に突き出すなどの悪いクセや習慣を取り除くことで、将来的な歯並びや顔のカタチのバランスを整えることが重要です。
|
|
|
治療前
|
|
|
|
|
治療後
|
|
|
治療後期
|
|
叢生(デコボコ)
|
|
|
20代 女性 治療期間2年3ヶ月
|
|
|
治療前
|
|
|
|
|
治療後
|
|
|
きれいに歯が並んで、かみ合わせもしっかりしています。口元もすっきりしました。
|
|
治療後
|
|
|
治療後3年。
安定したきれいなかみ合わせが保たれています。
|
|
上下顎前突(上下のアゴ、前歯が突き出ている):20歳 女性
|
|
|
治療期間2年7ヶ月
|
|
|
治療前
|
|
|
|
|
治療後
|
|
|
矯正治療後です。
口元がかなりすっきりしました。
|
|
治療後
|
|
|
治療後2年。
かみ合わせは安定しています。
|





